Ah, com certeza você já se deparou com pessoas com diastema, não é? Desde desconhecidos até os famosos, o sorriso com diastema tem sido o cartão de visita de muitos. Há quem ame e quem não goste nenhum pouco disso.
Temos certeza que você já viu e ouviu falar, mas de fato sabe o que significa essa condição bucal? Se acontece mais em adultos ou crianças, se é genético e até se precisa de intervenção cirúrgica? Não? Nós te contamos mais sobre isso logo abaixo!
O que é o diastema e o que o causa?
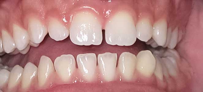
A condição bucal definida por especialistas como diastema diz respeito a um pequeno espaçamento entre dois ou mais dentes. Uma brechinha mesmo, os famosos “dentes separados”, na linguagem do senso comum.
Essa brecha pode ser observada na arcada dentária humana por qualquer pessoa, caso quem a possui sorria ou fale.
Em quais dentes essa condição pode acontecer?
Mais frequentemente esse espaço extra é observado nos dentes frontais da arcada dentária superior. A brecha normalmente ocorre nos dentes chamados como anteriores superiores e inferiores, e muito raramente – quase nunca mesmo – são diagnosticadas nos caninos, molares e pré-molares.
Tem alguma idade ou sexo em que essa condição mais aparece?
O aparecimento do diastema é muito mais comum na infância, pois é nessa fase que ocorre a transição dentária dos “dentes de leite” para dentes permanentes, mas isso também não significa que essa condição irá perdurar.
Durante essa troca natural de dentes é absolutamente normal que a brechinha do diastema possa aparecer, isso porque ainda existem espaços a serem preenchidos por novos dentes que estão por nascer.
Mas de fato, esse espaçamento só poderá ser diagnosticado com certeza após todos os dentes permanentes terem nascido, e ainda, todos eles deverão estar na posição correta na boca, pois no caso de dentes tortos o tratamento ortodôntico terá de ser realizado para, só então após sua conclusão, o cirurgião dentista declarar com certeza a condição.
Por conta das causas, que vamos conferir logo logo neste texto, é possível também que o diastema surja em qualquer idade. Tudo depende!
Sobre o sexo, especialistas têm verificado uma maior ocorrência de diastemas em mulheres do que em homens, porém pode acontecer em toda a população.
Quão grande deve ser o espaço entre os dentes diastema?
É necessário que o espaçamento entre os dentes frontais superiores seja maior do que 0,5mm para que este seja diagnosticado como diastema, observadas as demais pontuações acerca de transição de dentes, sua posição correta e da mordida.
Eis a questão: é um problema bucal ou um charme?
Embora muitas pessoas convivam normalmente com esse espacinho, isso não quer dizer que não seja um problema bucal estético, sendo dessa maneira encarado pela academia odontológica . Trata-se, estruturalmente e profissionalmente falando, de uma desarmonia do sorriso.
Dessa forma, não é correto declarar que é impossível viver bem com essa situação. Diferentemente, diversos indivíduos têm esse traço físico como sua marca registrada, como Brigitte Bardot, atriz francesa, e Madonna, rainha do pop.
Seja como for, gosto é individual e deve ser respeitado. Porém, é preciso que as causas desse espaçamento sejam investigadas.
Conheça as causas prováveis de diastema
Uma série de fatores pode causar o diastema, e como dito, apenas após o término do desenvolvimento estrutural do rosto humano o “problema” poderá ter uma diagnose certeira, mas depois de percebido, as razões terão de ser investigadas, podendo ser estas:
- tamanhos diversos de dentes;
- ausência de algum dente;
- retração gengival;
- anormalidades no freio labial – tecido que vai do lábio à gengiva, próximo do “meio” dos dentes centrais;
- hábito de chupar chupeta ou dedo na infância;
- problemas de alinhamento e oclusão dental;
- doenças periodontais e gengivais;
- acúmulo de placa bacteriana.
É possível falar em sintomas de diastema?
Veja bem, para saber que se possui diastema é preciso, da sua parte, observar seu sorriso. Ao notar espaçamentos maiores do que a brecha do fio dental, é indicado investigar a causa.
O único sintoma direto do diastema, que também é sua característica principal, é o espaço extra entre os dentes, mas os sintomas indiretos podem estar ligados às causas. Apenas um cirurgião dentista vai poder te confirmar.
Quais as opções de tratamentos indicados para essa condição dentária?
Você tem a escolha de corrigir o espaço extra entre os dentes, se desejar. São muitas as opções:
- Manter o diastema: não te faz mal e você se sente bem com essa condição, então mantenha;
- Fazer uma limpeza dentária;
- Iniciar tratamento ortodôntico para o fechamento do espaço: esse pode demorar de 12 a 36 meses, dependendo do caso;
- Optar pelo uso de próteses de porcelana ou facetas dentais;
- Substituir os dentes com o espaço por implantes dentários;
- Optar por uma gengivoplastia para fechar o espaço.
Independente da decisão tomada, siga as recomendações de seu cirurgião dentista e faça sua higiene bucal constante e sistematicamente. A escovação e o fio dental são essenciais para que seu sorriso seja lindo e saudável. A BRdental indica, também, que você agende consultas ao dentista com frequência. Esses profissionais só querem cuidar do seu sorriso!





